


Royal Hound, Clínica Veterinaria brinda un servicio personalizado de atención veterinaria para perros y gatos, con profesionales capacitados, con equipos médicos tecnológicos y modernas instalaciones, orientados a cuidar de la salud integral del miembro especial de la familia de nuestros clientes.


Las mascotas son seres vivos que necesitan estar cuidadas, limpias y bien cuidadas, es por ello que nuestro servicio de peluquería que brinda la mejor atención y servicios para ellas y ellos.
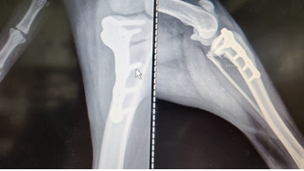
Contamos con modernos equipos que forman uno de los principales medios para realizar un diagnóstico seguro para detectar patologías.


Para nosotros el monitoreo constante es muy importante y por ello es un factor determinante en el proceso de recuperación de nuestros pacientes, por este motivo ponemos a su disposición el servicio de hospitalización por el tiempo que sea necesario para garantizar la óptima salud de su mascota.
Mantener el control es importante. Por ello ponemos a tu servicio un método de diagnóstico, apropiado para detectar patologías abdominales, control de gestación y función cardíaca.


Contamos con el servicio de cirugías como tratamiento necesario para tratar patologías. Por eso nuestros médicos están altamente preparados y nuestra área de quirófano cuenta con los equipos, tecnología y protocolos indispensables.
Mantener una adecuada higiene bucal es muy importante. Por ello brindamos el servicio de limpieza dental para que tu mascota este y lusca saludable.


¿Debes viajar y no tienes con quien dejar a tu amigo? Servicio de HOSPEDAJE CANINO y FELINO, con el AMOR y CUIDADO que tu mascota se merece.
El traer una nueva vida es un milagro, pero muchas veces esto tiene complicaciones. Por ello te brindamos el servicio de control de la gestación, cesáreas y asistencia en momento del parto.




